"My Voice"

Order a paperback or Kindle Edition or e-book of "My Voice: A Physician's Personal Experience with Throat Cancer," the complete 282 page story of Dr. Brook's diagnosis, treatment, and recovery from throat cancer.

Order a paperback or Kindle Edition or e-book of "The Laryngectomee Guide," the 170 page practical guide for laryngectomees.

Obtain and/or view a video presentation, instructive manual and a slide presentation how to ventilate laryngectomees and neck breathers (free).


To obtain suggestions for laryngectomees how to cope with COVID-19 pandemic click the Laryngectomee Newsletter link.


Side effects of radiation treatment in head & neck cancer



Radiation therapy (RT) is often used to treat head and neck cancer. It can be used as the only treatment, in combination with chemotherapy (chemoradiation therapy), or after surgery (adjuvant radiation therapy) The goal of radiation therapy is to kill cancer cells. Because these cells divide and grow at a faster rate than normal cells they are more likely to be destroyed by radiation. In contrast, although they may be damaged, healthy cells generally recover. 

Unfortunately radiation treatment causes short and long term side effects. RD can damage blood vessels that nourish muscles, nerves, and bones that can result in a progressive condition called "radiation fibrosis syndrome", which causes a variety of complications affecting nerve, muscles, and bones. Some side effects (e.g., nausea, mucositis) are generally more pronounced in those who receive radiation in combination with chemotherapy. 





Radiation Fibrosis Syndrome video from Sloan-Kettering Cancer Center



RT can be administered in several ways:

  1.   Organ preservation - radiation is aimed at the tumor site (with or without chemotherapy) is used in an attempt to cure the disease without surgically removing the larynx. However, this is not always an option because of the size and location of the tumor and the recommendation is to proceed directly to surgery.
  2. Palliative treatment - radiation (with or without chemotherapy) is given in an attempt to prolong life when the tumor is too large and/or inoperable and cure is highly unlikely. 
  3.  Radiation after surgery - radiation is given after surgery to destroy any local residual cancer cells that may spread to other organs such as the lung, liver, or brain. 
  4. Reirradiation for recurrent cancer - radiation is administered for recurrence of head and neck cancer in a previously irradiated areaRepeat irradiation with systemic therapy is a potentially curative option. Long-term disease-free survival has been observed, albeit with the risk of significant, possibly life threatening, late complications.
 

 


Types of radiation therapy

Most patients with for head and neck cancers are treated with external beam radiation therapy (using X-rays or gamma rays). The current standard of care is to use intensity-modified RT (IMRT). This method adjusts the beams to maximize radiation to cancerous tissue and not to normal tissue. This reduces side effects of RT. An individual face mask is made for each patient to insure accurate delivery of radiation. The number of treatments a person may get depends on the cancer type. Some patients get radiation only a single time while others get radiation once a day, 5 days a week, for up to 7 weeks.

Other methods of radiation include:



If RT is recommended the radiation oncologist sets up a treatment plan
that includes the total dose of radiation to be administered, the number of treatments to be given, and their schedule. These are based on the type and location of the tumor, the patient's general health, and other present or past  treatments. For early stage disease, doses of 66-74 Gy are generally administered.


The likelihood and severity of complications depends on a number of factors, including the total dose of radiation delivered, over what time it was delivered and what parts of the head and neck received radiation. The side effects of RT for head and neck cancer are divided into early (acute) and long term (chronic) effects. Early side effects occur during the course of therapy and during the immediate post therapy period (approximately 2-3 weeks after the completion of a course of RT). Late effects can manifest any time thereafter, from weeks to years later.


I described my own experiences getting RT in my book My Voice” in chapter 4 ”Getting irradiated”, and chapter 5 "Life after irradiation".

A lecture about life challenges after laryngectomy that includes discussion of late side effects of radiation can be viewed on YouTube.





Patients are usually most bothered by the early effects of RT, although these will generally resolve over time. However, because long term effects may require lifelong care it is important to recognize these in order to prevent them and/or deal with their consequences. Knowledge of the radiation side effects can allow their early detection and proper management. 

Individuals with head and neck cancer should receive counseling about the importance of smoking cessation. In addition to the fact that smoking is a major risk factor for head and neck cancer, the risk of cancer in smokers is further enhanced by alcohol consumption. Smoking can also influence cancer prognosis. When smoking is continued both during and after RT, it can increase the severity and duration of mucosal reactions, worsen the dry mouth (xerostomia), and compromise patient outcome. Patients who continue to smoke while receiving RT have a lower long-term survival rate than those who do not smoke.








Emotional needs during Radiation therapy

Up to half of patients receiving radiation therapy may experience anxiety and distress especially during the first visits to radiation oncology. Radiation therapy provokes high anxiety, with patients reporting fear of radiation and that being in an oncology department reminds them of their lifethreatening condition.

Radiation therapists (RTH) are the main health professionals that are in direct daily contact with patients during radiation treatment, placing them in a unique position to explore and deal with patients’ psychosocial needs. Their role incorporates patient education, including explanation and coordination of procedures and appointments, and providing advice regarding personal care during treatment. In fulfilling these roles, RTHs need to spend time with patients to ensure their information needs are met and that they are willing to proceed with treatment. Consequently, RTHs have a role in providing psychosocial support to patients. RTH–patient interactions can reduce patient anxiety through effective communication, forming relationships, acknowledging patients as individuals and provision of education/information.

RTHs prepare patients for the procedure through education and information before the start of treatment. Adequate preparation can reduce patient anxiety as well as recovery time and complication rates. Furthermore, RTHs interact with patients daily, and throughout treatment are able to tailor information to suit individual patient's changing needs and to involve patient's in their own care. The RTH–patient communication also enables RTHs to consider whether to involve families and caretakers in education/information sessions which may improve the overall patient experience and potentially reduce patient and family anxiety.


It is advisable that patients and family members utilize the guidance and assistance provided to them by the RTH. This can reduce anxiety and guide the patient through the radiation therapy and afterwards as they deal with the treatment’s short and long term side effects.





Early side effects

Early side effects include inflammation of the oropharyngeal mucosa (mucositis), painful swallowing (odynophagia), difficulty swallowing (dysphagia), hoarseness, lack of saliva (xerostomia), increased mucus production, orofacial pain, Laryngeal radionecrosis, dermatitis, hair loss, nausea, vomiting, inadequate nutrition and hydrationand weight loss. These complications can interfere with, and delay treatment. To some degree these side effects occur in most patients and generally dissipate over time.
The severity of these side effects is influenced by the amount and method by which the RT is given, the tumor’s location and spread, and the patient’s general health and habits (i.e. continued smoking, alcohol consumption).


Skin damage (radiation-induced dermatitis)

RT can cause a sunburn-like damage (radiation dermatitis) to the skin which can be further aggravated by chemotherapy. It is one of the most common side effects of RT and can cause pain and discomfort. The dermatitis depend upon the radiation dose and can be mild, moderate and severe. The severity of dermatitis and healing time are significantly increased in patients taking radiosensitizing agents.

It is advisable to keep the irradiated area clean and dry, wear loose-fitting clothes to avoid friction injuries, wash the skin with lukewarm water and mild soap (preferably synthetic soaps), and avoid exposure to potential chemical irritants, skin irritants such as perfumes and alcohol-based lotions, direct sun and wind, and local application of lotions or ointments prior to RT that might change the depth of radiation penetration. 

There are a number of skin care products that can be used during radiation treatment to lubricate and protect the skin. These include aloe vera-based gels and water-based lotions. Although such preparations may provide symptom relief, none promotes or accelerates healing of the radiation-induced dermatitis. Topical corticosteroids can be used during and a several weeks after completion of treatment may prevent severe radiation dermatitis and reduce discomfort and itching.


The management of radiation dermatitis is guided by the severity of skin damage and includes general skin care measures, prevention and treatment of secondary skin infection, and the use of dressings. 

Mild dermatitis starts improving with 10 days after completing of radiation, while severe dermatitis is associated with prolonged inflammation and healing time, resulting in skin fibrosis.

Skin cancer can rarely develop at the irradiated areas.

Wearing adhesive heat and moisture exchanger (HME) housing is not recommended during RT and the recovery period as the skin around the stoma usually become inflamed.



Skin damage after radiation


Hair loss


Hair follicles are very sensitive to radiation, and the treatments can cause hair loss. Most individuals observe hair loss within the treatment area about three weeks after the beginning RT. Hair loss may be temporary or permanent, depending on the total amount of radiation received and other treatments such as chemotherapy. When hair loss is temporary, it will likely re-grow within 3 to 6 months after treatment is complete. The re-growth of hair is often thinner or of a different texture.

Some individuals elect to have their hair cut short prior to starting RT. Those who wish to wear a wig, are advised to select it prior to losing their hair in order to match color and style.

The scalp is sensitive to radiation, especially following hair loss. The skin may become pink, tender or inflamed - like a sunburn. Following 2-3 weeks of treatment, the scalp may become dry and itchy. Appropriate special cream can be prescribed and applied to these areas.

The dry, irritated scalp is a temporary condition and start improving about two weeks after RT is complete. When indicated, medications can be administered to relieve discomfort and itching.

The scalp reaction can be minimized during the treatment by:

  • Avoiding frequent shampooing and using a mild shampoo (such as baby shampoo) without any perfumes.
  • Washing the scalp with warm water only and avoiding rubbing and scratching.
  • Drying the washed area by patting with a dry soft towel.
  • Avoiding excessively combing or brushing the hair.
  • Avoiding the use of hair spray, oils or creams.
  • Avoiding the use of heat sources (including hair dryers, rollers or curling irons).
  • Avoiding perming or coloring the hair until about 4 weeks after RT is complete.
  • Protecting the head from the sun, cold and wind by wearing a head covering (i.e., cap, scarf, and cotton hat).
Losing one's hair can be upsetting. Wearing a wig, scarves, turbans, bandanas, and hats having a short hair cut can be helpful. 




Hair loss


Dry mouth (xerostomia)

Saliva is produced by three pairs of salivary glands: The parotid (produces about 30% of the saliva), sublingular (<5%), submandibular (60%). There are also approximately 600 to 1000 minor salivary glands. The salivary glands are directly effected by the radiation treatment resulting in radiation-induced sialadenitis. The loss of saliva production (or xerostomia) is the most common long-term complication of radiation therapy, and  is  related to the administered irradiation dose and the volume of salivary tissue irradiatedIn most individuals, the saliva becomes more viscous, thick and stringy, and difficult to expectorate; its buffering capacity is reduced, and its pH shifts from neutral to acidic which increases in dental decay bacteria and initiates dental demineralization process.  Xerostomia generally stars 4 weeks after initiation of RT and generally takes up to eighteen months to improve.

Prevention of permanent salivary gland damage can be attempted in selected patients by using parotid-sparing intensity-modulated radiation therapy (IMRT)reduce the radiation dose to the submandibular and minor salivary glands (if oncologically feasible), submandibular salivary gland surgical transfer, and administration of amifostine (a radiation protective organic thiophosphate medication).

Although xerostomia generally improves with time, it is often a permanent problem that can adversely impacts quality of life. 

These measures can help in coping with xerostomia:

Drinking adequate fluids, frequent sipping or spraying of the mouth with water; sucking on ice chips and /or sugar-free popsicles; using sugarless gum and sugarless hard candy can help stimulate saliva, and rinsing and gargling with diet ginger ale or a weak solution of salt and baking soda are helpful to refresh the mouth, loosen thick oral secretions, and alleviate mild pain.


The use of saliva substitutes, or stimulation of saliva production from intact salivary glandular tissues by taste/mastication, pharmacological sialogogues (a drug  that increases the flow rate of saliva), acupunctureavoiding smoking and all products that contain caffeine or alcohol, using a bedside humidifier at night, and raising the head of the bed can be helpful.

Soft and moistened foods, thick soups, mashed potatoes, puddings, and milkshakes are easier to eat and swallow.

For more information see Xerostomia at the Late side effects section below.









Acceleration of periodontal disease


Patients who experience low function of their salivary gland and xerostomia must maintain excellent oral hygiene to minimize the risk of oral lesions. 


Periodontal disease can be accelerated and caries can become rampant unless preventive measures are instituted. Multiple preventive strategies should be considered. This evolves performing systematic oral hygiene at least 4 times per day (after meals and at bedtime) which includes:
  • Brushing teeth (if soreness of oral mucosa and trismus are present, a small ultra-soft toothbrush can be used).
  • Using a fluoridated toothpaste when brushing
  • If toothpaste makes one's mouth sore, brush with a solution of 1 teaspoon of salt mixed with 4 cups of water. 
  • Flossing once daily.
  • Applying a prescription-strength fluoride gel at bedtime to prevent caries.
  • Rinsing with a solution of salt and baking soda 4 to 6 times a day (½ tsp salt and ½ tsp baking soda in a cup of warm water) to clean and lubricate the oral tissues and to buffer the oral environment.
  • Sipping water frequently to rinse the mouth and alleviate mouth dryness.
  • Avoiding foods and liquids with a high sugar content. (Refer to the PDQ summary on Nutrition in Cancer Care for more information.)

Use of topical fluoride has demonstrable benefit in minimizing caries formation. During radiation treatment, it has been recommended that mouth guards be filled with topical 1% sodium fluoride gel and placed over the upper and lower teeth. The appliances should remain in place for 5 minutes, after which the patient should not eat or drink for 30 minutes.


Mouth guards can be filled with topical fluoride gel 


Alterations in taste (dysgeusia)

Radiation can induce changes in taste as well as tongue pain. Foods can alternately taste too bland or too spicy due to the tongue's limited taste receptors. Some foods may taste different than they did in the past, some foods may taste bland, or every food may taste the same. Specifically, bitter, sweet, sour, and salty foods may taste different, and some people may have a metallic or chemical taste in their mouth, especially after eating meat or other high-protein foods.

The sense of taste may also be affected by impaired smelling. These side effects can cause food aversion (dislike), further decrease food intake, and contribute to weight loss. Radiation can also cause dry mouth and thick saliva, further impacting taste.


RT as well as chemotherapy can impair the sense of taste because of their effects on the taste buds in the tongue and nasal epithelium receptors. Additional factors that may contribute to an altered sense of taste include a bitter taste from chemotherapy drugs, poor oral hygiene, infection, and mucositis.

Taste changes and tongue pain caused by RT usually begin to improve three weeks to two months after the end of treatment. Improvement may continue for about a year, but the sense of taste may not entirely return to the way it was before treatment, especially if there is damage to the salivary glands. However, alteration in food choices and preparation may minimize the effect of change of taste on the ability to consume adequate and nutritious foods.

In most instances, there are no specific treatments for taste problems.

These tips may help to cope with taste changes:

  • Choosing foods that smell and taste good, even if the food is not familiar.
  • Eliminating cooking smells by using an exhaust fan, cooking on an outdoor grill, or buying precooked foods. Cold or room-temperature foods also smell less.
  • Eating cold or frozen food (i.e., frozen yogurt, ice cream), which may taste better than hot foods.
  • Using plastic utensils and glass cookware to lessen a metallic taste.
  • Trying sugar-free, mint gum or hard candies (with flavors such as mint, lemon, or orange) to mask a bitter or metallic taste in the mouth.
  • Trying other protein sources (such as poultry, eggs, fish, peanut butter, beans, or dairy products) if red meats don't taste good.
  • Marinating meats in fruit juices, sweet wines, salad dressings, or other sauces.
  • Flavoring foods with herbs, spices, sugar, lemon, or sauces.
  • Not eating one to two hours before and up to three hours after chemotherapy to prevent food aversions caused by nausea and vomiting. Additionally, avoiding favorite foods before chemotherapy helps prevent aversions to those foods.
  • Rinsing with a salt and baking soda solution (½ teaspoon of salt and ½ teaspoon of baking soda in 1 cup of warm water) before meals, which may help neutralize bad tastes in the mouth.
  • Keeping a clean and healthy mouth by brushing frequently and flossing daily.
  • Considering zinc sulfate supplements, which may help improve taste in some people. However, one should consult with their physician before taking any dietary supplements, especially during active treatment.

Photobiomodulation therapy employing light at red and near-infrared wavelengths has been used for the treatment of taste alteration. 


Inflammation of the oropharyngeal mucosa (mucositis and odynophagia)

Radiation, as well as chemotherapy, damage the oropharyngeal mucosa resulting in mucositis, and odynophagia (pain with swallowing) which develops gradually, usually 2-3 weeks after starting RT and gets better starting 5 weeks after RT has ended. Its incidence and severity depend upon the field, total dose and duration of RT. Chemotherapy can aggravate the condition. Factors the increase the risk of mucositis include: poor oral hygiene; poor dental health; smoking or using tobacco products, including chewing tobacco; using alcohol; not drinking enough fluids; dry mouth; female gender; younger age; and having suffering from another disease (i.e., diabetes, HIV/AIDS, kidney disease).

The World Health Organization (WHO) scale of mucositis combines both subjective and objective measures of oral mucositis: 

  • Grade 0 = No oral mucositis
  • Grade 1 = Erythema and soreness
  • Grade 2 = Ulcers, able to eat solids
  • Grade 3 = Ulcers, requires a liquid diet (due to mucositis)
  • Grade 4 = Ulcers, alimentation not possible (due to mucositis)

The mouth is the most common site for mucositis, but it can also occur in the throat. The parts of the mouth that are most likely to be affected are the inside of the cheeks and lips, and the tongue (especially the sides and bottom). Oral mucositis can range from mild to severe. In mild cases, the sores may be small and only cause a little discomfort. In the most severe cases, sores are large, widespread, and extremely painful.

Symptoms include: mouth, gums, tongue, and throat are sore and may be covered by a white or yellow buildup;  pain or discomfort; red, shiny, or swollen areas in the mouth; mouth bleeding; white patches or pus in the mouth; difficulties and pain when swallowing saliva, food and drinking; difficulties in speaking; and increased mucus or thick saliva.

Painful mucositis can interfere with food intake and nutrition, as well as swallowing saliva. Some individuals need to spit their saliva rather than swallowing it.

Management includes meticulous oral hygiene, dietary modification, and ingestion of topical anesthetics combined with an antacid  and antifungal suspension ("cocktail") before eating. Spicy, acidic, sharp, or hot food should be avoided, as well as alcohol. Reducing the pain on swallowing can ease and increase food and liquid consumption. Although mucositis is not an infection, secondary bacterial, viral (i.e., Herpes), and fungal (i.e., Candida or thrush) infections are possible. Control of the pain (using opiates or gabapentin) may be needed.


Currently, various strategies and agents are available for the prevention of mucositis, including routine oral care, mucosal surface protectants, anti-inflammatory drugs, growth factors, certain antimicrobial formulations, laser therapy, oral cryotherapy, and specific natural and miscellaneous agents. These approaches encompass a diversity of mechanisms, but the results have been controversial, and the optimal prophylaxis remains unknown.

Thrush prevention is described in the Preventive Care section.

Mucositis can lead to nutritional deficiency. Those who experience significant weight loss or recurrent episodes of dehydration may require feeding through a gastrostomy feeding tube.

When getting radiation therapy to the head or neck, one needs to take good care of their teeth, gums, mouth, and throat. 

Although mucositis is not an infection, open mouth sores, reduce saliva production, weakened immune system, poor diet and poor oral hygiene raises s the risk of local and systemic bacterial, viral, and fungal infection. Individuals with neutropenia are at increased risk of sepsis. Severe mucositis can disrupt the treatment and reduce the quality of life.




Before You Begin Treatment

While most head and neck cancer patients will experience some degree of mucositis during treatment, there are some things can do before beginning treatment to reduce the chance of developing the condition.

  •       Getting examined and treated by a dentist who is knowledgeable and experienced working with cancer patients.
  •        Correcting any dental issues prior to starting to treatment. Idealy any dental work, including fillings or extractions, should be done 4-6 weeks before starting radiation or chemotherapy.
  •        Dental or another oral prosthetic, should fit properly.
  •        Asking one’s medical team about medications or treatments that may reduce the risk of developing oral mucositis.
       These may include:
        Photobiomodulation therapy – a type of low-level laser therapy that may prevent oral mucositis if used   before you begin cancer treatment. This therapy is new to for treatment of mucositis, and shows great promise without side effects   
        Amifostine (Ethyol®) – a drug that protects the salivary glands and oral mucosa against damage caused by radiation.
        Benzydamine   a topical nonsteroidal anti-inflammatory agent).


        Asking one’s doctor about having a feeding tube placed before treatment starts. That way, it is already in place when eating becomes too difficult. Waiting to get a feeding tube until it is needed can result in a medical and nutritional crisis, but it is a crisis that can be prevented by planning ahead. The tube is easily removed once it is no longer needed.

Managing mocositis during Treatment:

Management includes meticulous oral hygiene, dietary modification, and ingestion of topical anesthetics combined with an antacid and antifungal suspension ("cocktail") before eating. Spicy, acidic, sharp, or hot food, and alcohol should be avoided. Reducing the pain on swallowing can ease and increase food and liquid consumption. Secondary bacterial, viral (i.e., Herpes), and fungal (i.e., Candida or thrush) infections are possible. Control of the pain (using opiates or gabapentin) may be needed. (See below)
Once oral mucositis begins, there are steps you can take to help relieve pain and symptoms. Some basic tips include:
  •       Stop smoking and/or chewing tobacco
  •        Avoid alcohol
  •        Drink a lot of fluids
  •        Make sure your diet includes lots of protein, which helps your body rebuild and repair itself


Eating and Drinking
Although it may be painful, it is important to make sure you’re eating and drinking enough; eating smaller, more frequent meals throughout the day. To reduce pain and discomfort while eating, choose foods that soothe the mouth, such as:
  •       Cold foods, including popsicles, frozen fruit, and ice cream
  •        Soft, mild foods such as cottage cheese, smoothies, and yogurt
  •        Well-cooked, soft meals such as potatoes, macaroni and cheese, casseroles, stews, and pasta in white sauce
  •        Drink through a straw to avoid sore spots
  •        Eat sugar-free candy or chew gum to help keep your mouth moist.
  •        Moisten food with gravies and sauces to make it easier to eat.


Stay away from foods that could irritate your mouth including:
  •       Acidic foods, such as citrus fruit, tomatoes, peppers, and vinegar
  •        Spicy foods
  •        Crunchy or hard foods such as crusty bread, pretzels, and chips
  •        Hot foods
  •        Alcohol and carbonated drinks
  •        Sugary snack



Oral Care
It is important to take good daily care of your mouth, especially during treatment and if mucositis develops. 

  •        Brush your teeth. Tooth brushing helps keep the mouth moisturized, and it helps prevent infection.
  •        Use a soft-bristle toothbrush. Some patients find it easier and more comfortable to brush with a foam brush with an antibacterial rinse. Do not use lemon or glycerin swabs.
  •        Brush gently at least twice daily. Some patients find it helpful to brush every 4 hours and at bedtime.
  •        Use a gentle, mild-tasting toothpaste with prescription-strength fluoride, such as Prevident. Do not use whitening toothpastes. If flavored toothpastes irritate the mouth, brushing with plain baking soda or a solution of 1 teaspoon of salt mixed with 4 cups of water is less irritating.
  •        Floss gently once a day.
  •        Rinse your mouth frequently with a product such as Peridex or Periogard to prevent infection.
  •        Salt water also provides many of the same benefits of moisturizing and cleaning.
  •        Be sure to avoid mouthwashes that contain alcohol that can dry and irritate mouth tissues.
  •        Avoid using toothpicks which can cut your mouth.
  •        Use lip balm or moisturizer to keep your lips moist.
  •        Avoid using Vaseline because it can promote bacteria growth.
  •        Rinse your mouth before and after meals and at bedtime with a baking soda rinse to relieve pain and clean out mucus buildup. A good recipe is: ½ tsp salt, 1 tsp baking soda in 1 quart of wate. Be sure to RINSE and SPIT – do not swallow!  Prepare a fresh batch each day. Additional tip: If the salt makes the rinse too painful, reduce the amount until it is no longer uncomfortable. 
  •       If the gums are sore, dentures should be worn only while eating. Dentures should not be worn If sores are severe. Loose or fit poorly dentures should not be worn. Poorly fitting dentures may rub and irritate the mouth leading to more sores. Remove and clean the dentures every night or as directed by the dentist.



Pain Control
·       Pain from mucositis can range from mild to severe. To help manage pain, try the following:
  •        Suck on ice chips or popsicles and sip cool drinks often throughout the day.
  •        Clean your teeth and mouth after meals and before applying topical coating agents or medication for mouth sores.
  •        Topical pain relievers, including lidocaine, benzocaine, or dyclonine hydrochloride may provide temporary relief.
  •        In severe cases, you may need a prescription for a pain medication ( i.e., opiates, gabapentin)
  •        Many resources suggest using “magic mouthwash” – a  mixture of lidocaine (a pain reliever), diphenhydramine (an antihistamine and anti-inflammatory), and Maalox. “Magic mouthwash” should be used with caution because Maalox can cause drying of the lining of the mouth, which can make mucositis worse.

Topical medications to manage mucositis, including corticosteroids (anti-inflammatory drugs) mouthwas, and anti fungal agents. Other medications that may be prescribed are mucoadhesive hydrogel, Palifermin, Gelclair® and Zilactin®. These medications coat and protect the mucus membranes and nerves exposed by sores. The medical team may also recommend photobiomodulation therapy, a type of light therapy that may reduce the severity or duration of oral mucositis. 


Viscid, copious mucus production is a major problem for many patients with severe mucositis. The mucus causes queasiness and gagging and contributes to difficulty in maintaining adequate hydration and nutrition.

The secretions can be managed by:

  • Regular mouth rinsing with salt and soda solution, and taking oral guaifenesin in the early-phase of mucositis.
  • Later-phase thickened or larger-volume mucus may respond to combination narcotics and anticholinergic drying agents present in some cough preparations.
  • Treatment with mucus drying medications include: an antihistamine, and scopolamine transdermal patch. 
  •  Lysine supplements may be helpful.
  • Elevation of the head of the patient’s bed 30° can reduce edema and protect the airway.
  • A cool mist vaporizer may help lubrication and expectoration.
  • Lorazepam can help prevent repeated gagging and nausea.
  • Suction machine can be useful, especially after surgery when effective gargle is difficult.




The duration of mucositis is proportional to the degree of mucosal stem cell depletion. Radiation-induced mucositis may take weeks to months to heal depending on mucosal stem cell recovery. Excessive depletion may prevent healing and lead to a chronic open wound recognized as “soft-tissue necrosis.”




Mucositis following radiation



Laryngeal cartilage necrosis (Laryngeal radionecrosis)


Laryngeal radionecrosis (LR) is a rare complication following radiation therapy and is associated with significant morbidity and even mortality. One to 5% of patients undergoing radiotherapy may develop radiation-induced LR. Risk factors for the development of LR include smoking, tumor invasion, postoperative infection, trauma, and the radiation technique.

LR may develop at any time, shortly following treatment or even decades later, There are 5 grades of increasing severity of LR . Grades I and II are common postradiation changes and typically respond favorably to conservative treatment (i.e., humidification, voice restraint, discontinuation of smoking, antibiotics). Grade III and IV reactions are more severe, have less favorable outcomes, and are considered complications of radiotherapy. Severe LR is generally irreversible and often requires laryngectomy because of life-threatening laryngeal instability.

The typical patient with radiation-induced LR initially develops symptoms of hoarseness and breathiness. If airway distress develops, an emergent tracheotomy may be needed.  If an individual has recurrent aspirations secondary to poor swallowing function, pneumonia and respiratory compromise can occur.  Odynophagia and neck pain and stiffness are other late symptoms.



Frontal view of the larynx

Pain in the mouth and/or face

Pain in the mouth and/or face (orofacial) is common in patients with head and neck cancer. It occurs in up to half of the patients before RT,  80% of patients during treatment and about one third of patients six months after treatment. The pain can be caused by mucositis which can be aggravated by concurrent chemotherapy, and by damage from the cancer, infection, inflammation, and scarring due to surgery or other treatments.
Pain management includes the use of analgesics and narcotics. Acupuncture can be used for pain and dry mouth after neck surgery and a dry mouth in people with advanced cancer. 









Nausea and vomiting

RT may cause nausea. When it occurs, it generally happens from two to six hours after a RT session and lasts about two hours. Nausea may or may not be accompanied by vomiting. When feeling nausea breathing deeply and slowly and getting fresh air can help. Also distracting oneself with music or talking to a friend may help.

Management includes:

·       Eating small, frequent meals throughout the day instead of three large meals. Nausea is often worse if one's stomach is empty
·       Eating and drink slowly, chewing the food completely, and staying relaxed
·       Eating cold or room temperature foods. The smell of warm or hot food may induce nausea
·        Avoiding difficult to digest foods, such as spicy foods or foods high in fat or accompanied by rich sauces
·       Avoiding nausea causing food 
·        Avoiding odors, perfumes, incense, and other strong smells
·       Avoiding caffeine containing drinks and food 
·        Resting after eating. When lying down, the head should be elevated about 12 inches
·        Drinking beverages and other fluids between meals instead of drinking beverages with meals
·        Drinking 6-8 ounce glasses of fluid per day to prevent dehydration. Cold beverages, ice cubes, popsicle, or gelatin are adequate
·        Eating more food at a time of the day when one is less nauseous 
·        Having someone else cook, as cooking may worsen nausea
·        Informing one's health care provider before each treatment session when one develops persistent nausea
·        Treating persistent vomiting immediately as this can cause dehydration
·        Taking anti-nausea medication ( i.e., Zofran, Compazine, medical Marijuana)  
as prescribed by a health care provider
·         Wearing loose-fitted clothing can prevent irritation of one's throat or stomach and reduce nausea.

Persistent vomiting can result in the body losing large amounts of water and nutrients. If vomiting persists for more than three times a day and one does not drink enough fluids, it could lead to dehydration. This condition can cause serious complications if left untreated.

Signs of dehydration include:

·        Small amount of urine
·        Dark urine
·        Rapid heart rate
·        Headaches
·        Flushed, dry skin
·        Coated tongue
·        Irritability and confusion

Persistent vomiting may reduce the effectiveness of medications. If persistent vomiting continues, radiation treatments may be stopped temporarily. Fluids administered intravenously assist the body in regaining nutrients and electrolytes.



Difficult swallowing (dysphagia), inadequate nutrition and hydration


Radiation-induced dysphagia comprised a broad spectrum of structural, mechanical, and neurologic deficits. RT for head and neck cancer can cause many side effects that may contribute to inadequate calorie, protein and liquid intake. These side effects include lack of appetite, taste changes or lack of taste, painful chewing and swallowing (odynophagia), dry mouth, early satiety, diarrhea, nausea and general disinterest in food and eating.

Difficulties in swallowing (dysphagia) generally starts about 4 weeks after initiation of RT, and may last up to 2 years. It is important to continue to eat during RT. Not using the muscles of mastication weakens them. Furthermore, the scarring induced by radiation are reduced by chewing. Prophylactic swallowing exercises during chemotherapy and/or radiation can preserve normal swallowing. Exercises should address maintenance of strength and range of motion of the tongue/tongue base, pharyngeal constrictors, and the muscles responsible for hyolaryngeal excursion (hyoid bone & larynx move up) and airway protection. For those undergoing radiation following total laryngectomy, it is important to target tongue and tongue base strength. Jaw stretches are also an important part of treatment during radiation.


In addition to performance of swallowing exercises for prevention of radiation-associated dysphagia, maintaining oral intake during treatment has a positive impact on swallowing outcomes. It placement of a feeding tube is recommended only in high-risk patients or in response to nutritional deficiencies. Furthermore even when a tube is placed, the patient is encouraged to continue swallowing whatever is safe by mouth. The tube can provide supplemental nutrition but that the act of swallowing itself is a critical part of the treatment. 

Calorie and protein needs are increased in individuals treated for cancer. These increased needs, combined with the many possible side effects, may lead to weight loss and dehydration. It is very important to try and maintain one’s weight while receiving RT. It is advisable to obtain guidance from a dietitian how to maintain good nutrition and avoid weight loss and dehydration.

The basic principles to avoid weight loss and dehydration include:
  • Eating small frequent meals -- six to eight times per day
  • Making every bite and sip count by eating calorie-dense foods and add calories to foods
  • Limiting foods and beverages low in calories
  • Eating a variety of foods -- include various colors, textures and flavors. Even though one needs a high calories and high protein diet, a balanced diet with foods from all food groups is essential. It is desirable to continue to include fruits and vegetables
  • Carrying food at all times, to eat whenever possible
  • Consuming liquid diet when swallowing becomes difficult. This can be prepared by using a blender or by ingesting bottled liquid commercial food (i.e., Ensure, Boost)
  • Consuming cold and/or frozen food (including ice cream) may be easier and can also reduce oral pain
  • increasing the senses of smelling and taste by adding spices to the foods
  • Using condiments with food
  • Experimenting with a wide variety of familiar and unfamiliar foods to determine likes/dislikes.
      

As side effects worsen, most patients must focus on liquids and soft foods to obtain adequate calories. Often liquids can provide more calories than solids.
Selecting the best food is individual depending on taste and ability to swallow, and is often a trial and error process.

If ingestion of adequate calories and liquid is inadequate surgical installation of a gastric tube may be necessary.  Placement of such a tube is also done prior to initiation of the radiation treatment to offer an alternative feeding route.


If dehydration and/or severe malnutrition occurs urgent admission to the hospital may be required to correct these.





Voice changes and speaking difficulties

One’s voice might get hoarse when getting radiotherapy to the voice box to treat laryngeal cancer. It could disappear completely for a while during and after the treatment. The voice should come back within a few weeks but may never sound quite the same as before.

Radiotherapy for other types of head and neck cancer might make one’s voice change a little during and for a few weeks after the treatment. The voice should go back to normal once your treatment ends.

It is possible to communicating despite losing one’s voice.  It is useful to carry a small notebook and pen to write notes to people when needed. Laptop computers or electronic notebooks are other ways for communicating. Various types of small portable machines are available. One’s speech and language therapist can advise which may suit one best.




Tiredness (fatigue)

Fatigue is one of the most common side effects of RT. RT can cause cumulative fatigue (fatigue that increases over time). It usually lasts from three to four weeks after treatment stops, but can continue for up to two to three months.


Elderly and hypertensive patients can experience a significant blood pressure reduction during and immediately after RT which can lead to fatigue. The blood pressure fall is probably multifactorial and may be partially attributed to dehydration and weight loss.    

Fatigue can occur as the body repairs the damage to healthy cells and tissues. Some treatment side effects - such as anemia, pain, lack of sleep (insomnia), and rest, and changes in mood - also may cause fatigue. 

Rest, energy conservation, adjustment in the dosage of anti-hypertensive drugs, and correcting the above contributing factors may ameliorate the fatigue.

The following strategies can reduce fatigue and improve the quality of life:
  • Assess and document the level of fatigue daily by using a diary or worksheet to monitor fatigue daily. The fatigue level assessment includes monitoring its severity (none, minor, moderate, advanced) over the times the day.
  • Perform regular daily tasks and activities especially during the time of day when feeling less fatigue. (based upon one’s diary or worksheet)
  • Drink plenty of fluids and eat as nutritious as possible.
  • Avoid caffeine which dries the mouth and can disrupt sleep.
  • Maintain a daily exercise program.
  • Allow plenty of time for sleep each night.
  • Consult a social worker or a psychologist, and seek support from family and friends.
  • Seek evaluation and treatment of underlying medical and psychological conditions (i.e., anemia, depression, hypothyroidism).
  • Try to maintain a positive outlook. 









Effect of radiation on the brain

Most RT of head and neck cancer do not involve the brain. Current radiation technologies spare or minimize the exposure of the brain to radiation. RT directed at the brain itself may cause brain swelling. 

Short-term side effects include: headaches (not relieved by acetaminophen), hair loss, nausea, vomiting, poor appetite, extreme tiredness (fatigue), sleepiness, hearing loss, skin and scalp changes, changes in vision (i.e., double vision), change in mental status, trouble with memory and speech, unsteadiness, and seizures.

Treatment include steroids (to reduce brain swelling) and anti-seizure medications.






Other side effects

Other side effects include trismus and hearing problems (see below) .


Speaking including tracheoeso-esophageal or esophageal speechmay become more difficult during and immediately after radiation therapy. This is because of swelling of the vocal cords (in non-laryngectomees), or the tissues behind the tracheo-esophageal valve; or due to thick secretions blocking the valve.

Mucous coming up from the stoma is more sticky and hard to cough up during RT. 



LATE side EFFECTS 

Late side effects include include permanent loss of saliva; osteoradionecrosis; pharyngoesophageal stenosis; dental caries; oral cavity necrosis; dysgeusia (taste disorder), fibrosis; impaired wound healing; skin changes and skin cancer; lymphedema; hypothyroidism; lightheadedness, dizziness and headaches; secondary cancer; and eye, ear, neurological and neck structures damage. Patients who undergo radiotherapy for nasopharyngeal carcinoma tend to suffer from chronic sinusitis.


Permanent dry mouth (xerostomia)

Although the dry mouth (xerostomia) and thick saliva improves in most people with time, it can be long lasting and affects one's quality of life. Xerostomia can lead to the development of salivary stones and cysts. Permanent xerostomia  usually develops a year after completion of RT is caused by fibrosis of the salivary glands that follows an initial inflammatory response. 

Saliva has important function that can be adversely affected following RT. These include:

• Lubrication and moistening of food for swallowing
• Solubilizing material so it can be tasted
• Initiating digestion
• Preventing dental caries
• Maintaining oral and upper gastrointestinal pH
• Supports the health of oral mucosa
• Preventing opportunistic infections by maintaining oral microfloral balance
• Facilitates speech production
• Enhancing denture / prosthesis comfort and function
• Cleansing of mouth and clearing the esophagus

RT can lead to irreversible salivary glands cell damage. Serous salivary glands (Parotid & submandibular) are very sensitive to radiation. RT often leads to marked changes in the quantity and quality of saliva after just a few doses of radiation and alters the  consistency of the saliva from watery to more viscous. 

Xerostomia can lead to:

• Opportunistic infections (mostly fungal such as thrush)
• Denture stomatitis
• Alterations in pH 
• Alteration in secretory IgA
• Radiation caries (subgingival) leading to tooth decay, gum disease, and oral infection
Salivary stones and cysts
• Burning mouth syndrome (see next section)


Aside from being bothersome to patients, including making it difficult to eat, swallowing and speak, there is greater risk of dental cavities and dental disease. The maintenance of dentures can become problematic.

Patients who experience low function of their salivary gland and xerostomia must maintain excellent oral hygiene to minimize the risk of oral lesions. Periodontal disease can be accelerated and caries can become rampant unless preventive measures are instituted. Multiple preventive strategies should be considered.

Management and prevention include:

  • Palliative use of salivary substitutes (gels; rinses)
  • Using non pharmacological saliva stimulation
  • Using salivary stimulants ( containing xylitol)
  • Low-level laser treatment of the salivary glands
  • Dental hygiene (clean mouth multiple times/day and after each meal, brush teeth, floss, use fluoride toothpaste, rinse with salt/baking soda solution, avoid food with sugar)
  • Dentures should be remove and cleaned at least nightly or as directed by dentist
  • Using prophylactic chlorhexidine
  • Anti-fungal therapy
  • Preventing thrush (see Preventive care section)
  • Drinking plenty of liquids

These measures can help in coping with xerostomia:

Drinking adequate fluids (increase fluid intake may lead to increase urination), frequent sipping or spraying of the mouth with water; sucking on ice chips and /or sugar-free popsicles; consuming acidic or bitter substances, using sugarless gum and sugarless hard candy can help stimulate saliva, and rinsing and gargling with diet ginger ale or a weak solution of salt and baking soda are helpful to refresh the mouth, loosen thick oral secretions, and alleviate mild pain.

The use of saliva substitutes or artificial saliva (containing hyetellose, hyprolose, xylitol, or carmellose), or stimulation of saliva production from intact salivary glandular tissues by taste/mastication, pharmacological sialagogues (a drug  that increases the flow rate of saliva), acupuncture, avoiding smoking and all products that contain caffeine or alcohol, avoiding antihistamines and decongestants. Using a bedside humidifier at night, and raising the head of the bed can be helpful.

Low-level laser treatment can intensify cell metabolism and its application on salivary glands could improve salivation. 

Available pharmacological medications include salivary stimulants (sialagogues), such as pilocarpine, amifostine, cevimeline and herbal medications.  Pilocarpine is the only drug approved by the U.S. Food and Drug Administration for use as a sialogogue for radiation xerostomia. Preliminary data suggest that  hyperbaric oxygen, hyperthermic humidification, photobiomodulation / low-level laser therapy and transcutaneous electrical nerve stimulation can provides benefit for patients with xerostomia who have some residual salivary gland function.

Acupuncture can be used for a dry mouth in people having radiotherapy for head and neck cancers. It is also used for pain and dry mouth after neck surgery or radiation and a dry mouth in those who had radiation therapy, and those with advanced cancer. Several clinical trials suggest that acupuncture can help.


Dietary change from dry, tough food to easier to swallow moist, softer (i.e., thick soups, mashed potatoes, puddings, and milkshakes), one can greatly improve nutritional status and quality of life. Use of a humidification especially in the bedroom can also provide some relief.



Dry mouth after radiation





Burning mouth syndrome

Chronic or recurrent burning in the mouth caused by the radiation and enhanced by xerostomia is termed secondary “Burning mouth syndrome”. Symptoms may include:

  • A superficial burning or scalded painful sensation affecting the tongue, lips, gums, palate, throat or whole mouth
  • Mouth dryness and increased thirst
  • Loss of taste or changes in taste (e.g., bitter or metallic)


The mouth discomfort can come and go or occur every day. It can be present throughout the day or slowly worsen as the day progresses. It may last for months to years. Symptoms may suddenly disappear on rare occasions or become less frequent. Eating or drinking can bring temporarily relief.
The discomfort can lead to depression, anxiety, and difficulties in falling asleep and eating.
The discomfort caused by the syndrome can be reduced by avoiding acidic foods, spicy foods and carbonated beverages, tobacco, and excessive stress..

Treatment is symptomatic and may include one or a combination of these methods:
  • Specific oral rinses or lidocaine
  • Saliva replacement products
  • Capsaicin, a pain reliever derived from chili peppers
  • Clonazepam or Klonopin,  (anticonvulsant medication)
  • Antidepressants
  • Medications that block nerve pain
  • Low-level laser therapy
  • Cognitive behavioral therapy






Dental caries


The risk of dental caries increases after RT of head and neck cancer because for a number of factors. These include xerostomia that leads to an increase in the number of caries producing bacteria (Streptococcus mutans and Lactobacillus species) in the mouth, reduced concentrations of salivary antimicrobial proteins, and loss of saliva's mineralizing components leading to dental deminerilization.

Management strategies includes preoperative dental treatment, prevention through daily oral care, including fluoride treatment, and routine visits with dentist/oral hygienist. Optimal oral hygiene must be maintained and xerostomia should be managed whenever possible by using salivary substitutes or replacements. Caries resistance can be enhanced with the use of topical fluorides and/or re-mineralizing agents (high in calcium phosphate and fluoride). The efficacy of topical products may be enhanced by increasing their contact time with the teeth by using dental trays. Those unable to effectively comply with use of fluoride trays can be instructed to use brush-on gels and rinses.


Topical fluorides or chlorhexidine rinses may lead to reduced levels of S. mutans but not Lactobacillus. Because of adverse drug interactions, fluoride and chlorhexidine dosing should be separated by several hours.

Routine oral care includes: gentle regular brushing using soft bristle toothbrush, use rechargeable electric tooth brush when possible, brush after eating, rinse with water when unable to brush, floss, use dental water jet, use fluoride tooth paste, and get routine dental care prescribed by a dental professional such as fluoride tray. 







Osteoradionecrosis of the jaw

This is one potentially severe complication that can necessitate surgical intervention and reconstruction. It is a severe iatrogenic disease of devitalized bone caused by RT of head and neck cancer and can occur during or after treatment. It is a state of injured bone tissue with inadequate healing or remodeling response of at least three to six months. Bone loss or death is the result of damaged blood vessels within the bone. It can cause bone fracture and infection.

Depending on the location and extent of the lesion, symptoms may include pain, bad breath, taste distortion (dysgeusia), “bad sensation”, numbness (anesthesia), trismus, difficulty with mastication and speech, fistula formation, pathological fractures, and local, spreading, or systemic infection. Patients who have received high-dose radiation to the head and neck are at lifelong risk for osteoradionecrosis, with an overall risk of approximately 15%.

The jaw bone (mandible) is the most frequently affected bone, especially in those treated for nasopharyngeal cancer. Maxillary involvement is rare because of the collateral blood circulation it receives.

Tooth extraction and dental disease in irradiated areas are major factors in the development of osteoradionecrosis.  In some cases it is necessary to remove teeth before RT if they will be in the area receiving radiation and are too decayed to preserve by filling or root canal. An unhealthy tooth can serve as a source of infection to the jaw bone that can be particularly difficult to treat after radiation. 


Repair of nonrestorable and diseased teeth prior to RT may reduce the risk of this complication. Oral disease should be eliminated pretreatment whenever possible. Dentition that exhibits poor prognosis and is within high-dose radiation fields should be extracted before RT begins. Ideally, at least 7 to 14 days should be allowed for healing before initiation of RT; some have suggested allowing up to 21 days.

Mild osteoradionecrosis can be conservatively treated with debridement, antibiotics, and occasionally ultrasound. Topical antibiotics (e.g., tetracycline) or antiseptics (e.g., chlorhexidine) may contribute to wound resolution. Pain management may be needed. Wherever possible, exposed bone should be covered with mucosa and necrotic bone removed. Analgesics for pain control are often effective. When necrosis is extensive, radical resection, followed by microvascular reconstruction is often used.


The combination of pentoxifylline and tocopherol was effective in treating bisphosphonate and radiation related osteonecrosis of the jaw. The prophylactic use of the combination reduced the incidence of osteoradionecrosis following dental extraction.

Hyperbaric oxygen therapy (HBO) has been often used in patients at risk or those who develop osteoradionecrosis of the jaw. However, the available data are conflicting about the clinical benefit of HBO for prevention and therapy of osteoradionecrosis. 


HBO has been reported to increase oxygenation of irradiated tissue, promote angiogenesis, and enhance osteoblast repopulation and fibroblast function. HBO is usually prescribed as 20 to 30 dives at 100% oxygen and 2 to 2.5 atmospheres of pressure. If surgery is needed, ten dives of postsurgical HBO are recommended. Unfortunately, HBO technology is not always accessible to patients who might otherwise benefit because of lack of available units and the high price of care.

Patients should inform their dentists about their RT prior to extraction or dental surgery. Osteonecrosis may be prevented by administration of a series of  HBO therapy before and after these procedures. This is recommended if the involved tooth is in an area that has been exposed to a high dose of radiation. Consulting the radiation oncologist who delivered the radiation treatment can be helpful in determining the extent of prior exposure.  

Prevention include adequate dental care and prophylaxis, good nutrition, avoiding alcohol and tobacco, avoid traumato sift and hard tissues.


Dental prophylaxis can reduce the risk of osteoradionecrosis. Special fluoride treatments may help with dental problems along with brushing, flossing, and regular cleaning by a dental hygienist.



A home care dental lifelong routine is recommended:

1. Flossing each tooth and brushing with toothpaste after each meal.

2. Brushing the tongue with a tongue brush or a soft bristled toothbrush once a day.

3. Rinsing with a baking soda rinse daily. Baking soda helps neutralize the mouth.
One teaspoon added to 12 oz. of water. The baking soda rinse can be used throughout the day.

4. Using fluoride in fluoride carriers once a day. Fluoride carriers are custom made by a professional dentist. A 1.1% sodium fluoride or 0.4% stannous fluoride is placed in the fluoride carriers and applied over the teeth for 10 minutes. One should not rinse, drink, or eat for 30 minutes after fluoride application. 








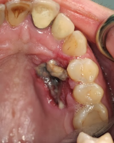
Necrosis in the oral cavity


Tissue necrosis (death of cells) and secondary infection of previously irradiated tissue is a serious complication for patients who have undergone RT for head and neck cancer. Acute  damage typically involve the mucosa of the mouth. Chronic changes involving bone and mucosa are a result of the process of vascular inflammation and scarring that in turn results in tissue damage because of reduced blood and oxygen supply. Infection secondary to tissue injury and osteonecrosis confounds the process.

Soft tissue necrosis can occur in any mucosal surface in the mouth. Trauma and injury are often associated with nonhealing soft tissue necrotic lesions, though spontaneous lesions can also happen. Soft tissue necrosis begins as an ulcerative break in the mucosal surface and can spread in diameter and depth. Pain will generally become more prominent as soft tissue necrosis becomes worse. Secondary infection can also take place.


Excessive depletion may prevent healing and lead to a chronic open wound recognized as soft-tissue necrosis. This may be referred to as a consequential late effect. Other consequential late effects include mucosal scarring (healing by secondary intention) and loss of mucosal compliance, contributing to chronic dysphagia.





Upper palate necrosis



Fibrosis 

High doses of radiation to the head and neck can result in fibrosis where the neck may develop a woody texture and have limited movement. This condition may be aggravated after head and neck surgery. Radiation-induced fibrosis  can develop as a late effect of RT in area that has been irradiated. RT effects the skin and subcutaneous tissue, muscles, tendons, nerves, lymphatic system, bones, and other organs, depending upon the treatment site. It generally starts eight to twelve weeks after the initiation of RT  and is a lifelong issue. Radiation to the neck can cause significant atrophy and tightness to muscles of the neck and shoulders including the scalenes, trapezius, and sternocleidomastoid muscles. Radiation-induced fibrosis may cause both cosmetic and functional impairment, which can lead to deterioration in the quality of life. Early intervention to manage fibrosis is very important.


Late onset of fibrosis can also occur in the pharynx and esophagus, leading to stricture, dysphagia and temporomandibular joint problems including mandibular dysfunctionPatients can be instructed in physical therapy interventions such as mandibular stretching exercises and the use of prosthetic aids designed to reduce the severity of fibrosis. It is important that these approaches be instituted before trismus develops. If clinically significant changes develop, several approaches can be considered, including stabilization of occlusion, and use of trigger-point injection and other pain management strategies, muscle relaxants, and tricyclic medications.


Patients should maintain flexibility of the neck muscles by stretching exercises including chin curls, head rotations, shoulder shrugs, and shoulder circles. Exercise can reduce neck tightness and increases the range of neck motion. One needs to perform these exercises throughout life to maintain good neck mobility. After radiation fibrosis has developed individuals may benefits from myofascial release (MFR) if medically appropriate. MFR is a hands-on method of massaging and stretching the connective tissue of the head/neck to increase range of motion, increase flexibility, decrease pain, and improve posture. MFR is typically performed by a trained speech pathologist or physical therapist. Receiving treatment by experienced physical therapies who can also break down the fibrosis is very helpful. The earlier the intervention, the better it is for the patient. There are physical therapy experts in most communities who specialize in reducing swelling.

A prospective study ( https://pubmed.ncbi.nlm.nih.gov/30776452/  ) showed that pravastatin (a statin) is an efficient antifibrotic agent in patients with grade ≥2 cutaneous and subcutaneous fibrosis after radiation therapy for head and neck cancer.

Muscle tightness can often serve as trigger of headaches which may eventually lead to migraine. The muscles of mastication are also often involved. Treatment of muscle fibrosis can often alleviate and reduce the frequency of such headaches.





Neck exercises 


A new treatment modality that reduces lymphedema, fibrosis and neck muscle stiffness using external laser is also available. This method uses a low energy laser beam administered by an experienced physical therapistThe laser beam penetrates the tissues where it is absorbed by cells and changes their metabolic processes. The beam is generated by the LTU-904 Portable Laser Therapeutic Unit.

Fibrosis in the head and neck can become even more extensive in those who have had surgery or further radiation. Post radiation fibrosis can also involve the skin and subcutanous tissues, causing discomfort and lymphedema






Trismus and dysphagia

Fibrosis of the muscles of mastication can lead to restriction in the range of motion of the jaw with limited mouth opening which can progress over time. Trismus or lockjaw (limited opening of the jaw) is common following radiation, especially following radiation targeting the base of tongue; tonsil; retromolar trigone; soft palate; temporalis, masseter, and pterygoid muscles; and the temporomandibular joint (TMG). The prevalence of trismus increases with increasing doses of radiation, and levels in excess of 60 Gy are more likely to cause trismus. Fibrosis of the muscles of mastication can lead to the inability to open the mouth (trismus or lockjaw) which can progress over time. 

The normal moth opening is 35- 45 mm. The severity of trismus varies between mild (30-34 mm mouth opening), moderate ( 15-29 mm), severe ( 5-14 mm) and profound (0-4 mm).



Trismus can adversely affect chewing, nutrition, oral and dental care, speech production, and intubation for future surgery. Trismus impedes proper oral care and treatment and may cause speech/swallowing deficits.  Early massage and prophylactic trismus prevention exercises can be initiated in those considered at high risk for developing trismus during radiation. These include massage/manual therapy, passive stretching devices, jaw exercises, and pain management. Treatment is contraindicated with osteoradionecrosis of the jaw or mandible.


Gentle Jaw stretching exercises, such as opening the mouth wide like a big yawn and holding 10-15 seconds, is often the first exercise. If a more aggressive intervention is needed, a speech pathologist may recommend tongue blade therapy or a device (e.g., Therabite , OraStretch, Dynasplint).These devices are increasingly used during RT as a prophylactic measure to prevent trismus. One of the benefits of these devises is that they not only stretches the connective tissue that causes trismus, but also allows for proper mobilization of the temporomandibular joint, thus addressing a secondary cause of pain and tightness.







The Terabite system

Early treatment of trismus has the potential to prevent or minimize many of the consequences of this condition. As restriction becomes more severe and likely irreversible, the need for treatment becomes more urgent. 


A wide array of appliances are available for the treatment of trismusDevices range widely in cost. Many devices must be custom made for each patient, thus increasing the cost of treatment. Others, such as continuous passive motion devices are rented on a daily or weekly basis. These devices include the following:
  • Cages that fit over the head
  • Heavy springs that fit between the teeth
  • Screws that are placed between the central incisors
  • Hydraulic bulbs placed between the teeth

The most commonly used treatment is the use of tongue depressors. These are stacked, forced and held between the teeth in an attempt to push the mouth open over time.
Coronoidectomy can be effective at improving trismus refractory to physical therapy in head and neck cancer patients.

The use of palatal augmentation prosthesis allows reshaping of the hard and/or soft palate to improve tongue/palate contact during speech and swallowing. This could be a removable partial denture or complete denture prosthesis.

Swallowing difficulties due to fibrosis often requires a change in diet, exercise therapy that include pharyngeal strengthening, range of movement exercises, and isometric training, and swallow retraining, especially in those who have had surgery and/or chemotherapy.

Physiological stimulation include hyperbaric oxygen therapy, Transcutaneous electrical nerve stimulation, electrotherapy, and biofeedback.
Swallowing exercises are increasingly used as a preventing measure.
Partial or total oropharyngeal stricture can occur in severe cases.



Swallowing exercises



The dropped head syndrome

The dropped head syndrome (DHS) is a disabling condition caused by severe weakness of the neck extensor muscles causing progressive reducible kyphosis of the cervical spine and the inability to hold the head up. Dropped head syndrome induced by radiotherapy is very rare and can occur from 3 months to 30 years after radiation therapy. The mechanism of late-onset radiation-induced DHS remains unclear. It is thought to result from primary muscle damage or anterior horn or root lesions at the upper cervical level within the radiation field.

Treatment with physiotherapy and surgery have not been very successful, and the management of DHS is supportive, including employing a cervical collar to maintain the head in an upright position.The condition generally does not spread or become worse.





Pharyngoesophageal stenosis

Pharyngoesophageal stenosis can be a delayed complication of RT. Pharyngoesophageal (PE) stenosis is an area of narrowing in the pharynx or esophagus. This stenosis can make it difficult to eat (dysphagia), particularly solid food. It can also cause accumulation of saliva and oral secretion in the mouth. If the PE segment becomes completely closed off, the patient will not be able to eat or drink anything by mouth and will need a feeding tube placed directly into the stomach (gastric tube). Treatment of this complication might include frequent placement of dilating catheters down the throat to stretch and open the narrowed segment or by surgically removal of the blocked segment followed by flap reconstruction. 

This issue is discussed in greater details in the Swallowing difficulties section in the "Eating, swallowing, smelling and basic skills in laryngectomees" page. 





Swallow test radiographs of a high pharyngoesophageal stricture after laryngopharyngectomy


Impaired wound healing 

Some patients may manifest wound healing impairment following surgery, especially in areas that have received RT. Some may develop a fistula ( an abnormal connection between the inside of the throat and the skin). Wounds that heal at a slower pace can be treated with antibiotics and dressing changes by specialists.





Skin changes and skin cancer


Patients treated with RT can experience radiation recall dermatitis.  Its estimated frequency is in 9% of individuals. Patients who suffered from an initial severe dermatitis, may experience inflammatory waves that can occur weeks to years after their RT.  Symptoms of radiation recall are induced by inflammation in a region that was previously treated with radiation.

The reaction is characterized by a skin rash typified by redness, swelling, and/or blistering of the skin. The rash is often painful and can resemble a severe sunburn.

Late-stage or chronic radiation dermatitis typically presents months to years after radiation exposure. It is characterized by skin fibrosis, slight color changes to the skin or mild swelling, atrophy, and widened blood vessels on the skin (telangiectasias).

Individuals generally lose hair in the region that received radiation (see above).

Radiation can increase the risk for skin cancers in the area that received radiation. The most common types of skin cancers seen are basal cell carcinoma and squamous cell carcinoma.  Cancer can also develop in skin flap used for reconstruction of the hypopharynx. Therefore, it is very important to see a dermatologist and an otolaryngologist regularly. When noticing any changes in the texture or color of the skin in the radiated area or any new lesions in the field, one should bring those to the attention of their health care providers for further evaluation.







Permanent skin damage after radiation



Radiation recall myositis

Radiation myositis (muscle inflammation) is a rare and infrequent adverse effect of radiation therapy. It is characterized by muscle tiredness, weakness and pain, and elevations in muscle enzymes by blood tests (CPK or aldolase). It can be also diagnosed using MRI, and muscle biopsy.

Skeletal muscle has been considered relatively resistant to radiation injury. Larger total dose and larger dose per fraction are influential in the complication rates for muscle injury. Muscle morbidity is higher for those who received total radiation doses greater than 63 Gy, and may also be higher in those who receive cytotoxic chemotherapy.

Muscle swelling (edema) following radiation therapy with neutrons peaks at about six months compared to 12-18 months after treatment with photons.  Edema persists loner in neutron-treated patients. Complete resolution of photon-induced myositis tends to occur in about half of the patients within two to three years whereas less than 20% of the patients treated with neutrons have resolution by three to four years.

Non-steroidal anti-inflammatory drugs are a reasonable initial intervention for active radiation myositis. The value of corticosteroids for radiation myositis is anecdotal and controversial. In the presence of severe tissue breakdown, hyperbaric oxygen therapy may be considered. Hyperbaric oxygen therapy is of benefit in the treatment of extensive muscle tissue breakdown due to various causes including radiation injury.





Lymphedema

Obstruction of the cutaneous lymphatics results in lymphedema. Significant pharyngeal or laryngeal edema may interfere with breathing and may require temporary or long term tracheostomy. Lymphedema, strictures, and other dysfunctions predispose patients to aspiration and the need for a feeding tube. 

Read more about lymphedema at the "Lymphedema, neck swelling, pain and numbness after radiation and surgery"  page.



Hypothyroidism

RT is almost always associated with hypothyroidism. The incidence varies; it is dose-dependent and increases as time elapsed since the RT. Read more about it in the Low thyroid hormone (hypothyroidism) and its treatment section.





Hyperparathyroidism

The parathyroid glands are resistant to radiation therapy. However, hyperparathyroidism (HPT) due to adenoma formation can occurs in individuals who had received RT for head and neck cancer after a longer latency period. One third of the patients with HPT have normal serum calcium levels despite elevated parathyroid hormone levels and abnormal parathyroid glands. 

Signs and symptoms of HPT include:
  • Fragile bones that easily fracture (osteoporosis)
  • Kidney stones
  • Excessive urination
  • Abdominal pain
  • Tiring easily or weakness
  • Depression and forgetfulness
  • Bone and joint pain
  • Frequent complaints of illness with no apparent cause
  • Nausea, vomiting or loss of appetite

HPT is diagnosed by finding elevated calcium levels in the blood, Bone mineral density test (bone densitometry), a 24-hour collection of urine, and imaging tests of kidneys.
Treatment includes watchful waiting in those with normal calcium levels and kidney functions, and normal bone density. Medications to treat HPT include calcimimetics (drugs that mimics calcium), hormone replacement therapy to retain calcium, and bisphosphonates.  Surgical removal of the parathyroid adenoma(s) is curative in most patients.



Parathyroid gland



Attention, thinking, and memory problems (cognitive impairment)

Many patients who received RT to the head and neck and/or chemotherapy experience attention, thinking, or short-term memory problems.  Neurocognitive function, although not immediately affected after treatment, progressively declines in 38% of the patients in the 2 years after definitive treatment with chemotherapy or radiation. Other causes for cognitive problems are pain, side effects of medications, emotional state, and other medical problems.

Cognitive problems can manifest in the following symptoms or behavioral changes:
  • Trouble concentrating, focusing, or paying attention
  • Mental fog or disorientation
  • Difficulty with spatial orientation
  • Memory loss or difficulty remembering things, especially names, dates, or phone numbers
  • Problems with understanding
  • Difficulties with judgment and reasoning
  • Impaired ability to calculation and organize, and impaired language skills. These include difficulties to organize one's thoughts, find the right word, or balance a checkbook
  • Problems in multitasking
  • Processing information slower
  • Behavioral and emotional changes, such as irrational behavior, mood swings, inappropriate anger or crying, and socially inappropriate behavior
  • Severe confusion


Management of these cognitive problems includes: 
  • Medications, including stimulants, cognition-enhancing drugs, antidepressants, and drugs that block the actions of narcotics
  • Occupational therapy and vocational rehabilitation, to help people with the activities of daily living and job-related skills
  • Cognitive rehabilitation and cognitive training, to help patients improve their cognitive skills and find ways to cope with these issues.

Strategies for coping with cognitive problems include:

  • Keeping a checklist of daily reminders
  • Doing one task at a time without distractions
  • Carrying around a small pad and a pen or pencil to write down notes and reminders. Or, downloading a note-making application on one's smartphone and tablet
  • Using a calendar and a notebook with questions and a to-do list
  • Letting friends, family, workplace, and health-care team know about one’s memory loss
  • Getting counseling and other resources to improve memory
  • Placing sticky notes around the house and workplace as a reminder of important tasks.
  • Use word play, such as rhyming, to help remember things
  • Getting plenty of rest
  • Keeping physically activity to increase mental alertness
  • Conducting brain-strengthening mental activities (i.e., hobbies, solving puzzles, painting)
  • Preparing for the next day by setting out the things you will need on the night before
  • Color coding or labeling certain cabinets or drawers where one stores things around their home
  • Eliminating clutter, and placing things back in the same place 






Neurological damage


Most RT of head and neck cancer do not involve the brain. Current radiation technologies spare or minimize the exposure of the brain to radiation. Radiation therapy directed at the brain itself may cause brain swelling.  Late side effects only affect a small number of adult patients. These effects show up usually from 6 months to many years after treatment ends. These delayed effects can include serious problems such as memory loss, stroke-like symptoms, brain function, and rarely increased risk of having another tumor in the area.

RT to the neck can also affect the spinal cord, resulting in a self-limited transverse myelitis, known as "Lhermitte's sign". The patient notes an electric shock-like sensation mostly felt with neck bending (flexion). This condition rarely progresses to a true transverse myelitis which is associated with Brown-Séquard syndrome (A loss of sensation and motor function caused by the lateral cutting of the spinal cord) and typically resolves within one year. 

RT may cause neuropathy due to nerve injury, although it may take several years for symptoms to appear. RT can also cause peripheral nervous system dysfunction resulting from external compressive fibrosis of soft tissues and reduced blood supply caused by fibrosis. Peripheral neuropathy (see Side effects of chemotherapy for head and neck cancer section) is a disorder that occurs when the nerves outside the brain and spinal cord, called the peripheral nervous system, are damaged. Depending on which nerves are affected, symptoms may include a change in sensation, especially in the hands and feet, (e.g., numbness, tingling, or pain); muscle weakness, (i.e., myopathy), paralysis and/or paresis (weakness) of the diaphragms (cause by phrenic nerve damage), and changes in organ function (i.e., constipation, dizziness). 


Radiotherapy-related cranial nerve palsy may occur after receiving conventional radiotherapy. The most commonly affected nerves are the hypoglossal, vagus and recurrent laryngeal nervesIf the cranial nerves are affected one can experience difficulty in speaking, chewing or swallowing; numbness, tingling, or burning in the jaw, throat, or neck; hearing loss or ringing in the ears (see below), vision loss or other vision symptoms, such as blurred or double vision (see below) ; and changes in taste and smell.

The management of neuropathy depend on the specific symptoms and the location of the nerve pain. 
These include:

  • Medications that treat peripheral nerve pain, including medicines for nausea and vertigo; certain antidepressants, like selective serotonin or norepinephrine reuptake inhibitors (SSRIs or SNRIs); or medications to treat nerve pain, including gabapentin or duloxetine
  • Nerve blocks and transcutaneous electric nerve stimulation (TENS)
  • Speech therapy to improve speech, chewing, and swallowing
  • Physical therapy to improve strength, balance, coordination, or mobility
  • Occupational therapy to maintain motor skills needed for daily activities
  • Acupuncture treatment may improve peripheral neuropathy.



Damage to the peripheral and autonomic nervous system can lead to dizziness when standing up from sitting up from sitting or lying down due to postural hypotension.   

RT can cause some of the symptoms of dysautonomia (see below).

RT of head and neck cancer seemed to have adverse but insignificant effects on the cognitive functions of the patients.




Dysautonomia

Dysautonomia is an umbrella term referring to a group of several medical conditions that cause a malfunction of the Autonomic Nervous System (ANS). This is the part of the nervous system that controls automatic processes in the body, such as heart rate, blood pressure, digestion, dilation, and constriction of the pupils of the eye, kidney function, and temperature control. Dysautonomia can be acute and reversible or non-reversable, chronic and progressive.

Dysautonomias in adults often are associated with, and may be secondary to, another disease process or a drug.  Common secondary causes include medications, chemotherapy, radiation treatments, spinal cord or head injury, diabetes or autoimmune autonomic ganglionopathy. 

Oral, head and neck cancer patients that receive radiation as part of their treatments, can have varying degrees of scatter radiation to these structures, and years after treatment develop some of the manifestations of dysautonomia. When the ANS doesn’t work as it should, it can cause heart and blood pressure problems, trouble breathing, and loss of bladder control among other symptoms.

The symptoms experienced by dysautonomia patients vary based on the type of autonomic dysfunction and where the dysfunction is occurring within the body. 

 

Symptoms of dysautonomia

People with dysautonomia have trouble regulating some of the ANS systems, which can result in lightheadedness, fainting, unstable blood pressure, abnormal heart rates, malnutrition, and in severe cases, death.

● Balance Problems

● Chest Pain/Discomfort

● Fatigue

● Nausea, Vomiting, GI Trouble

● Irregular Heart Rate and Blood Pressure

● Fainting/ Loss of Consciousness

● Migraines

● Erectile Dysfunction

● Noise and Light Sensitivity

● Lightheadedness, Dizziness, Vertigo

● Visual Disturbances

● Weakness

● Sweat less than normal, or not at all

● Swings in Body Temperature

● Difficulty Swallowing

● Brain Fog/ Forgetfulness

● Moodiness

● Sleep Disturbances

● Frequent Urination, Incontinence

● Low Blood Sugar

● Dehydration

● Exercise intolerance

Patients with autonomic disorders usually require a multi-disciplinary team, as autonomic disorders can impact almost every organ and system of the body. While each specialist will have his or her own areas of expertise, it is still important for each member of the patient’s team to be familiar with the most up-to-date information on the patient’s autonomic disorder.

There is no cure for dysautonomia. Secondary forms of dysautonomia may improve with treatment of the underlying disease. The best that can be done is to deal with the various manifestations of it and their individual symptoms. Treating symptomology is not the same as treating the disease and is a coping mechanism not a cure. Lifestyle changes will be necessary for many of the symptoms to be reduced or mitigated.

Read more about dysautonomia at https://thedysautonomiaproject.org/dysautonomia/







Brachial plexopathy

Plexopathy is a disorder affecting a network of nerves, blood vessels, or lymph vessels. Radiation-Induced brachial plexopathy is caused by radiation damage to the brachial plexus, a nerve bundle near the neck and shoulder. (See picture below). The nerves forming the brachial plexus originate at the spinal cord in the neck and provide sensation and muscular innervation for the whole hand.

Symptoms may include paresthesia (tingling, pricking, numbness), dysesthesia (abnormal sense of touch, such as burning, itching, feeling of an electric current, “pins and needles”, pain), decreased sensitivity, partial loss of movement (muscle weakness and difficulty performing simple tasks such as opening jars, or containers, holding objects), complete paralysis of the arm, muscular atrophy, impaired mobility and partial dislocation of the shoulder joint.

The damage to the brachial plexus results from a combination of direct nerve damage from ionizing radiation, the progressive development of scar tissue (radiation fibrosis) in and around the nerves, and damage to blood vessels that supply these nerves. Radiation also causes shrinking and decrease in elasticity of nerve fibers. The extent of damage is associated with the radiation dose and technique, and the concurrent use of chemotherapy.
Most patients develop symptoms within the first three years, however, the interval between the last dose of radiation and the onset of symptoms ranges between six months and 20 years.


Rehabilitation program includes physical and occupational therapies. Physical therapeutic modalities emphasis pain lessening, strengthening, conservation of range of motion, and controlling lymphedema. Occupational therapy evaluates daily activities and offers suitable adaptive tools.




Brachial plexus 

Eye damage 

Cataract: Radiation can cause cataract usually in the posterior sub-capsular and sometimes in the cortical areas of the lens. Several other confounding risk factors contribute to lens opacities including age, diabetes mellitus, corticosteroids use, smoking, and ultraviolet radiation exposure. The exact mechanisms of how radiation causes cataract are still not fully understood.

A number of studies indicate that there is risk of lens opacities at doses below 1 Gy and the threshold may range from none to 0.8 Gy. However, the International Commission on Radiological Protection (ICRP) has recently accepted the threshold of 0.5 Gy.

It may take many years or decades before radiation-induced eye lens injuries become apparent. At relatively high exposures of few Gy, lens opacities may occur within a few years; however, at lower doses and dose rates (less than 1 Gy), lens opacities may occur after many years. The duration of the latency period is inversely dependent on dose.

The only way to treat cataract is by surgery. This involves removing the opacified lens, leaving the capsule that contains it intact. A plastic lens is inserted and, therefore, there is no need to wear special glasses after the operation. Surgery is only indicated when lens opacity progresses to a stage that causes visual disability.





Radiation retinopathy: This complication can occur following exposure to any source of radiation. It is especially common after radiation treatment for nasopharyngeal, paranasal sinus or orbital tumors. Higher total radiation dose has been shown to increase the risk of radiation retinopathy. The incidence of retinopathy increases at doses above 45 Gy.
Comorbidities such as diabetes, hypertension, simultaneous chemotherapy and pregnancy are associated with an increased risk of radiation retinopathy.

Appropriate shielding of the ocular structures during external beam radiation and hyperfractionation of external beam can decreased the incidence of radiation retinopathy.
Patients with early or mild retinopathy may be asymptomatic. Those with advanced disease can present with decreased vision or floaters.


Treatment includes intravitreal injection of humanized monoclonal antibody to vascular endothelial growth factor (Bevacizumab), intravitreal triamcinolone acetonide, grid macular laser photocoagulation, sector scatter and pan-retinal laser photocoagulation, photodynamic therapy, hyperbaric oxygen and oral pentoxifylline. Advanced proliferative radiation retinopathy complicated by vitreous hemorrhage, and/or tractional retinal detachment may require vitrectomy.



Radiation neuropathy



Damage to the ear (ototoxicity) and hearing loss

Patients who undergo radiation therapy for head and neck cancer appear more likely to experience hearing loss and to be more disabled by its effects than those who do not receive such treatment. Common complaints are ear heaviness, earache, decreased hearing, tinnitus, and dizziness. Dose of radiation is directly proportional to ototoxicity; minimum 60 Gys of total radiation dose is required to produce significant ototoxicity.

Chemoradiation therapy can cause progressive hearing impairment especially in those receiving the chemotherapy intravenously, with a modest deterioration of 5 decibel 4.5 years after treatment.

Radiation to the ear may result in serous otitis (otitis with effusion). This condition is associated with accumulation of fluid in the middle ear and temporary reduced hearing. Serous otitis and conductive deafness are reversible over time. High doses of radiation can cause sensorineural hearing loss due to damage to the inner ear, the auditory nerve, or the vestibular apparatus.This condition is not reversible. Damage to the vestibular apparatus can cause dizziness and vertigo.

Hearing loss may make individuals perceive that their voice is weaker than it actually is. It may contribute to social isolation and make laryngectomees try to speak louder. In those who use tracheoesophageal speech and are trying to speak louder by generating greater expiratory effort a separation of the HME base plate from the skin can occur. This is especially true in those who use a hands free HME. Wearing a hearing aid enables a laryngectomee to hear their actual voice.






Radiation-induced chronic rhinosinusitis 

RT-induced toxicity to sinonasal mucosa can lead to impaired nasociliary clearance as well as impaired mucous production (xerorhinia).  This can lead to production of thick secretions with decreased nasal clearance. Individuals experience thick, foul-smelling crusts that block their nasal passages. 

Management of this chronic condition often requires frequent debridement, nasal irrigation, and a nasal steroid. There is a high prevalence of recovery of methicillin resistant Staphylococcus aureus (MRSA) from these sinuses. It is advisable that appropriate cultures are obtained from patients so that proper antimicrobials can be administered.






Lightheadedness, dizziness and headaches

Lightheadedness, dizziness, and headaches can be one of a late side effects of radiation of the head and neck. Damage to the peripheral and autonomic nervous system and the carotid artery baroreceptors can lead to dizziness when standing up from a sitting or lying down, due to the development of low blood pressure (orthostatic hypotension).  This can be prevented by standing up slowly, wearing of compression stockings, exercising and keeping well hydrated. It is best to consult one’s physician to prevent and treat this condition. Lightheadedness can also be caused by Postprandial Hypotension (see below). Radiation can affect blood vessels in the head and neck region, potentially altering blood flow and contributing to dizziness. (See below)

The perception of the body’s position is determined by the brain by integrating information from the middle ear, eyes, and the body’s muscles and joints. Unfortunately, radiation almost always causes head neck muscles fibrosis and can also infrequently damage the middle ear. The perception of lightheadedness and dizziness after radiation treatment may be generated in some individuals by misinformation sent to the cerebellum (the part of the brain that controls the body’s balance) from these locations.

Dizziness and lightheadedness can be treated by physical therapy. This includes vestibular rehabilitation and exercises that stretch the fibrotic muscles, reduce neck stiffness, and increase the head and neck range of motion. One needs to perform these exercises throughout life to maintain good neck mobility.

Vestibular rehabilitation therapy is an exercise-based program designed to promote central nervous system compensation for inner ear deficits as well as misinformation sent to the brain from other parts of the body (eyes, skin, muscle, joints etc). 

Dizziness and lightheadedness can be caused by a variety of causes and condition and should be evaluated by one’s physician and medical specialists (e.g., neurologist, otolaryngologist).  Dealing with cancer and its treatment can be emotionally and mentally taxing, leading to stress and anxiety, which may exacerbate feelings of dizziness.

Muscle tightness and fibrosis can often serve as trigger of headaches which may eventually lead to migraine. The muscles of mastication are also often involved. Treatment of muscle fibrosis can often alleviate and reduce the frequency of such headaches.






Damage to neck structures

Neck edema and fibrosis are common after RT. Over time the edema may harden, leading to neck stiffness. Damage can also include carotid artery narrowing (stenosis) and stroke, carotid artery rupture, oropharyngo-cutaneous fistula (the last two are associated also with surgery), and carotid artery baroreceptors damage leading to permanent and proxysmal (sudden and recurrent) hypertension. 

Ischemic stroke can be a late complication of neck irradiation. Many factors can contribute to the increased risk of stroke in patients with head and neck cancer, including carotid artery stenosis (see below) and increased deposition of plaque, as well as other preexisting risk factors for cerebrovascular disease, particularly smoking.



Carotid artery stenosis and carotid artery (CA) rupture: The carotid arteries in the neck supply blood to the brain. Radiation to the neck has been linked to CA stenosis or narrowing, and rarely to CA rupture; representing a significant risk for head and neck cancer patients, including laryngectomees. Screening ultrasound within the first year since completion of radiotherapy, followed by repeat ultrasounds every two to three years and whenever CA stenosis is suspected can lead to early diagnosis. Smoking increases the risk of CA stenosis. The incidence of carotid artery stenosis ranged from 18 to 38% in patients who underwent radiotherapy for head and neck cancer compared to 0 to 9.2% among nonirradiated patients.  CA disease can cause strokes and transient ischemic attack (TIA), though it does not always cause symptoms. It is important to diagnose carotid stenosis or impending rupture early, before a stroke or severe bleeding has occurred.






 internal carotid artery 90% stenosis  (left) and stenosis repaired with a stent (right)    

                         
Stenosis increases the risk of stroke, which is a medical emergency that occurs when the blood supply to the brain is interrupted or significantly decreased.


The signs and symptoms of a stroke or TIA include these sudden features:

  • Numbness or weakness in the face or limbs, often on only one side of the body
  • Difficulty in speaking and understanding
  • Trouble seeing in one or both eyes
  • Dizziness or loss of balance
  • Severe headache with no known cause


Stenosis can be diagnosed by hearing a bruit sound over the CA, ultrasound, CT, MRI, MRA (Magnetic Resonance Angiogram ) as well as angiography. Treatment of stenosis caused by RT is usually by placing a stent (a small device placed inside the artery to widen it). Other methods include removal of the blockage (endarterectomy),  or a prosthetic carotid bypass grafting.

Evidence suggesting impending rupture can be obtained on physical and radiological examinations. Endovascular stenting is also performed in patients with impending CA rupture. 


Hypertension and hypotension due to baroreceptors damage: Radiation to the head and neck can damage the baroreceptors located in the carotid artery. These baroreceptors help in regulating blood pressure by detecting the pressure of blood flowing through them, and sending messages to the central nervous system to increase or decrease the peripheral vascular resistance and cardiac output. Some individual treated with radiation develop labile or paroxysmal hypertension. 


Low blood pressure (hypotension): This can be cause by damage to the peripheral and autonomic nervous system and the carotid baroreceptors. This can lead to baroreceptor failure that is manifested in orthostatic hypotension (intolerance) which is characterized by dizziness when standing up from a sitting or lying down. This can be managed by standing up slowly, wearing of compression stockings, exercising and by keeping well hydrated.  Hypotension can also be caused by by Postparndial Hypotension (see below)

Labile hypertension In this condition the blood pressure fluctuates far more than usual within the day. It can rapidly soar from low (e.g.,120/80 mm Hg) to high (e.g., 170/105 mm Hg). In many instances these fluctuations are asymptomatic but may be associated with headaches. A relationship between blood pressure elevation and stress or emotional distress is usually present.

Paroxysmal hypertension: Patients exhibit sudden elevation of blood pressure (which can be greater than 200/110 mm Hg) associated with an abrupt onset of distressful physical symptoms, such as headache, chest pain, dizziness, nausea, palpitations, flushing, and sweating. Episodes can last from 10 minutes to several hours and may occur in different frequency - varying from once or twice daily to once every few months. Between episodes, the blood pressure is normal or may be mildly elevated. Patients generally cannot identify obvious psychological factors that cause the paroxysms. Direct massage of the carotid artery during Doppler ultrasound can lead to such episodes. Medical conditions that can also cause such blood pressure swings need to be excluded (e.g. pheochromocytoma).

Management of paroxysmal hypertension includes antidepressants, alpha and beta blockers. Acute management during episodes includes intravenous or oral labetalol, or oral prazosin, terazosin, or clonidine. While hot baths, saunas, and exposure to hot environments can help lower blood pressure through vasodilation, they should be used cautiously, especially during hypertensive episodes or crises. Always consult with a healthcare provider before using these therapies.

Both labile and paroxysmal hypertension are serious and should be treated by experienced specialists. Correction of CA stenosis (i.e., stent insertion) can prevent or reduce the occurrence of these conditions. 

Correction of carotid artery stenosis (i.e., stent insertion) can prevent or reduce the occurrence of these conditions.  Dr Samuel Mann from Weill-Cornell Medical Center in New York City is one of the leading experts in treating paroxysmal hypertension.   The Vanderbilt Autonomic Dysfunction Center is one of the nation's leading expert centers in dysautonomia, or autonomic dysfunction. 


Determining the accurate BP is essential to provide proper management. To find the true BP it is important to follow these instructions. Unfortunately these guidelines are often not followed in many physicians’ offices. It is important that patients insist that they are followed by medical professionals.

These are the directions for measuring BP:

  • Be still. Don't smoke, drink caffeinated beverages or exercise within 30 minutes before measuring your blood pressure. Empty your bladder and ensure at least 5 minutes of quiet rest before measurements. Laryngectomees using esophageal speech or trachea esophageal speech should avoid speaking for at least 5 minutes.
  • Sit correctly. Sit with your back straight and supported (on a dining chair, rather than a sofa). Your feet should be flat on the floor and your legs should not be crossed. Your arm should be supported on a flat surface (such as a table) with the upper arm at heart level. Make sure the bottom of the cuff is placed directly above the bend of the elbow. Check your monitor's instructions for an illustration or have your healthcare provider show you how.
  • The ideal cuff bladder length is ≥ 80 percent of the patient’s arm circumference. The ideal cuff bladder width is ≥ 40 percent of the patient’s arm circumference.
  • Measure at the same time every day. It’s important to take the readings at the same time each day, such as morning and evening. It is best to take the readings daily, however, ideally beginning 2 weeks after a change in treatment and during the week before your next appointment.
  • Take multiple readings and record the results. Each time you measure, take two or three readings one minute apart and record the results.
  • Don't take the measurement over clothes.

 Low blood pressure after eating in individuals with baroreceptor damage after head and neck radiation ( Postprandial hypotension).

Low blood pressure after eating can occur in some individuals with baroreceptor damage caused by  radiation therapy for head and neck cancer.   This can make them feel dizzy, light headed, and cause them to faint when they get up quickly.

Prevention and ameliorating of the low blood pressure after eating can be done by:

  • Drinking liquids before meals. Drinking 12 to 18 ounces of water 15 minutes before eating can blunt a fall in blood pressure.
  • Eating smaller meals. Larger meals are more likely to cause postprandial hypotension than smaller ones. Try changing from three meals a day to six or seven smaller meals.
  • Consuming fewer rapidly digested carbohydrates. White bread and other foodstuffs made with refined flour, white rice, potatoes, and sugary beverages move rapidly from the stomach to the small intestine. This quick passage causes postprandial hypotension. Reducing the consumption of these foodstuffs and substituting them with slowly digested whole grains, beans, protein, and healthy oils may keep the blood pressure adequate after a meal.
  • Moving slowly and carefully. Blood pressure usually is the lowest 30 to 60 minutes following a meal. Sitting or lying down for about an hour after eating can help with postprandial hypotension. When moving around, one has to use caution and be alert for signs of low blood pressure.

Several medications and supplements have been tested to treat and prevent postprandial hypotension. These include caffeine, guar gum (a water-soluble fiber), acarbose (a diabetes drug that slows the digestion of carbohydrates), midodrine (increases blood pressure), and others. However, none of those worked well in clinical trials, and side effects of these therapies may be significant.

 

When feel unwell after eating, one should consult their physician who can properly diagnose and treat them.






Secondary cancers 

Even though radiation is used to treat cancer, paradoxically, years later it can rarely result in new local and systemic cancers appearing. The risk is proportional to the administered radiation dose. The secondary cancer can be quite different from the original and could include local cancers such as skin, mediastinal, oral and thyroid  cancer, and systemic cancers such as lymphomas, sarcomas and leukemia. It is important to be closely followed by one's physician as well as medical specialists (i.e., dermatologist) to detect secondary malignancies.



Skin cancer



More information about complications of RT can be found at the National Cancer Institute Web site.